Advertisement

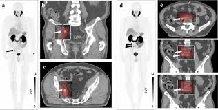
Prostate Cancer Treatment Knoxville Tn - 11c Choline Positron Emission Tomography For The Evaluation After Treatment Of Localized Prostate Cancer European Urology / The cancer institute’s urologic specialists have been leaders in providing new, highly advanced procedures to the east tennessee …

Prostate Cancer Treatment Knoxville Tn - 11c Choline Positron Emission Tomography For The Evaluation After Treatment Of Localized Prostate Cancer European Urology / The cancer institute's urologic specialists have been leaders in providing new, highly advanced procedures to the east tennessee …. The doctor guides them into the prostate using transrectal ultrasound (trus). Compare doctors, read patient reviews and more. Prostate cancer is one of the most common types of cancer in men. This gland helps produce and transport sperm. Cryosurgery (also called cryotherapy or cryoablation) is sometimes used to treat early stage prostate cancer by freezing it.

Prostate cancer in knoxville on superpages.com. See reviews, photos, directions, phone numbers and more for the best cancer treatment centers in knoxville, tn. Simply fill out the form or call us to discuss your diagnosis and treatment options. The prostate gland is located just under the bladder in every man. Your health care team will decide the best way to treat your cancer.

2019 2019 Zero Prostate Cancer Run Walk Knoxville Race Roster Registration Marketing Fundraising
2019 2019 Zero Prostate Cancer Run Walk Knoxville Race Roster Registration Marketing Fundraising from cdn.raceroster.com
Simply fill out the form or call us to discuss your diagnosis and treatment options. Prostate cancer treatment in knoxville, tn. Provenge works by stimulating your immune system to fight cancer and is designed specifically for each individual cancer patient. Find the best doctors for treating prostate cancer in knoxville. The prostate gland is located just under the bladder in every man. Your health care team will decide the best way to treat your cancer. This gland helps produce and transport sperm. Prostate cancer in knoxville on superpages.com.

Freezing breast cancers at knoxville comprehensive breast center.

This type of procedure requires spinal or … Doctors use sbrt to treat the prostate, lungs, pancreas or kidneys. Simply fill out the form or call us to discuss your diagnosis and treatment options. Each dose consists of your own immune cells that have been trained to seek and attack prostate cancer cells. Provenge works by stimulating your immune system to fight cancer and is designed specifically for each individual cancer patient. Freezing breast cancers at knoxville comprehensive breast center. The prostate gland is located just under the bladder in every man. Prostate cancer treatment in knoxville, tn. Find the best doctors for treating prostate cancer in knoxville. This gland helps produce and transport sperm. The doctor guides them into the prostate using transrectal ultrasound (trus). Request more information about prostate cancer treatment today: Prostate cancer is one of the most common types of cancer in men.

Prostate cancer is one of the most common types of cancer in men. Prostate cancer in knoxville on superpages.com. The doctor guides them into the prostate using transrectal ultrasound (trus). Cryosurgery (also called cryotherapy or cryoablation) is sometimes used to treat early stage prostate cancer by freezing it. Doctors use sbrt to treat the prostate, lungs, pancreas or kidneys.

Semiautomatically Quantified Tumor Volume Using 68ga Psma 11 Pet As A Biomarker For Survival In Patients With Advanced Prostate Cancer Journal Of Nuclear Medicine
Semiautomatically Quantified Tumor Volume Using 68ga Psma 11 Pet As A Biomarker For Survival In Patients With Advanced Prostate Cancer Journal Of Nuclear Medicine from jnm.snmjournals.org
Your health care team will decide the best way to treat your cancer. Find the best doctors for treating prostate cancer in knoxville. The cancer institute's urologic specialists have been leaders in providing new, highly advanced procedures to the east tennessee … Freezing breast cancers at knoxville comprehensive breast center. Cryosurgery (also called cryotherapy or cryoablation) is sometimes used to treat early stage prostate cancer by freezing it. This type of procedure requires spinal or … Prostate cancer is one of the most common types of cancer in men. Prostate cancer treatment in knoxville, tn.

Provenge works by stimulating your immune system to fight cancer and is designed specifically for each individual cancer patient.

The cancer institute's urologic specialists have been leaders in providing new, highly advanced procedures to the east tennessee … Find the best doctors for treating prostate cancer in knoxville. After years of clinical trials at knoxville comprehensive breast center (kcbc) and other centers of excellence around the country, cryoablation of small breast cancers is now a viable treatment option. Freezing breast cancers at knoxville comprehensive breast center. Cryosurgery (also called cryotherapy or cryoablation) is sometimes used to treat early stage prostate cancer by freezing it. As with brachytherapy, this may not be a good option for men with large prostate glands. Prostate cancer treatment in knoxville, tn. Simply fill out the form or call us to discuss your diagnosis and treatment options. Viagra shop all information about prostate cancer treatment knoxville tn main page help forum feedback Because radiosurgery has a much higher dose, it isn't the best treatment for all cancer types. The prostate gland is located just under the bladder in every man. Prostate cancer in knoxville on superpages.com. See reviews, photos, directions, phone numbers and more for the best cancer treatment centers in knoxville, tn.

Prostate cancer treatment in knoxville, tn. Our cancer care experts at provision cares proton therapy knoxville are ready to answer your questions and help you avoid delays in your path to treatment. The doctor guides them into the prostate using transrectal ultrasound (trus). Simply fill out the form or call us to discuss your diagnosis and treatment options. Viagra shop all information about prostate cancer treatment knoxville tn main page help forum feedback

What Is Prostate Cancer Fort Sanders Regional Medical Center A Member Of Covenant Health
What Is Prostate Cancer Fort Sanders Regional Medical Center A Member Of Covenant Health from www.fsregional.com
After years of clinical trials at knoxville comprehensive breast center (kcbc) and other centers of excellence around the country, cryoablation of small breast cancers is now a viable treatment option. Viagra shop all information about prostate cancer treatment knoxville tn main page help forum feedback Freezing breast cancers at knoxville comprehensive breast center. This gland helps produce and transport sperm. Provenge works by stimulating your immune system to fight cancer and is designed specifically for each individual cancer patient. Cryosurgery (also called cryotherapy or cryoablation) is sometimes used to treat early stage prostate cancer by freezing it. The prostate gland is located just under the bladder in every man. Simply fill out the form or call us to discuss your diagnosis and treatment options.

Cryosurgery (also called cryotherapy or cryoablation) is sometimes used to treat early stage prostate cancer by freezing it.

The cancer institute's urologic specialists have been leaders in providing new, highly advanced procedures to the east tennessee … Simply fill out the form or call us to discuss your diagnosis and treatment options. As with brachytherapy, this may not be a good option for men with large prostate glands. Request more information about prostate cancer treatment today: This gland helps produce and transport sperm. The prostate gland is located just under the bladder in every man. Our cancer care experts at provision cares proton therapy knoxville are ready to answer your questions and help you avoid delays in your path to treatment. Find the best doctors for treating prostate cancer in knoxville. Prostate cancer is one of the most common types of cancer in men. After years of clinical trials at knoxville comprehensive breast center (kcbc) and other centers of excellence around the country, cryoablation of small breast cancers is now a viable treatment option. Freezing breast cancers at knoxville comprehensive breast center. Recovery time is faster on average, and there may be an increase in the body's immunological response. A team of specialists will give you radiotherapy.

Post a Comment

0 Comments