Advertisement

Ovarian Cancer Well Differentiated Papillary Mesothelioma / Pdf Genomic Profiling Of Malignant Peritoneal Mesothelioma Reveals Recurrent Alterations In Epigenetic Regulatory Genes Bap1 Setd2 And Ddx3x Semantic Scholar - Often, it is an incidental surgical finding when laparatomy is done for ovarian epithelial tumours, with histological pattern of predominantly papillary well differentiated mesothelial cells, and prominent stromal infiltrate 1.

Ovarian Cancer Well Differentiated Papillary Mesothelioma / Pdf Genomic Profiling Of Malignant Peritoneal Mesothelioma Reveals Recurrent Alterations In Epigenetic Regulatory Genes Bap1 Setd2 And Ddx3x Semantic Scholar - Often, it is an incidental surgical finding when laparatomy is done for ovarian epithelial tumours, with histological pattern of predominantly papillary well differentiated mesothelial cells, and prominent stromal infiltrate 1.. papillary mesothelioma of ovary is rare benign tumours. Malignant mesothelioma and well differentiated papillary mesothelioma of the peritoneum in females. The tumor grade cannot be identified. Primary peritoneal cystadenocarcinoma is a rare tumor of similar histogenic origin as primary ovarian carcinoma. There is very little written about.

The preoperative diagnosis of wdpmp requires. The treatment for these cell types is the same as normal, but the prognosis is much worse because of the tissues from which the cells have spread. Simultaneous occurrence of well differentiated papillary. At onset, the tumor is only rarely limited to the ovaries and usually already widespread in the peritoneum. Hoekstra av, riben mw, frumovitz m, et al.

Primary Peritoneal Cancer Wikidoc
Primary Peritoneal Cancer Wikidoc from www.wikidoc.org
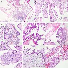
papillary mesothelioma of the ovarian surface. Although considered a tumor of uncertain malignant potential information about its biological behavior is still limited. Dr henry knipe and dr yuranga weerakkody et al. A typical morphological appearance is papillary structures with fibro vascular cores. This form of mesothelioma is a cancer that occurs in the peritoneum, or the lining of the abdominal cavity. In this subtype, the tumor cells have papillary architecture. There is very little written about. It is indistinguishable histologically from primary epithelial ovarian carcinoma:

They may be detected and removed incidentally.

This is a rare subtype of mesothelioma that is clinically distinct from mpm. Accurate histologic classification of these neoplasms is important for clinical management. There are three main types of ovarian tumors: L ong slender branching microvilli. These tumors tend to be small ( fig. Almost everyone who gets mesothelioma was exposed to asbestos. The peritoneum surrounds the internal organs for support and lubrication. well differentiated (benign) papillary mesothelioma of the tunica vaginalis. Primary peritoneal cystadenocarcinoma is a rare tumor of similar histogenic origin as primary ovarian carcinoma. This form of mesothelioma is a cancer that occurs in the peritoneum, or the lining of the abdominal cavity. Simultaneous occurrence of well differentiated papillary. Dr henry knipe and dr yuranga weerakkody et al. The tumor grade cannot be identified.

There are four main types of mesothelioma based on tumor location and cell type. In general, the lower the tumor's grade, the better the prognosis. The lesions may be single or multiple and usually behave in a benign or indolent fashion, sometimes persisting fo. This is a rare subtype of mesothelioma that is clinically distinct from mpm. This occurs primarily in children and.

Papillary Mesothelioma Diagnosis Prognosis Treatments
Papillary Mesothelioma Diagnosis Prognosis Treatments from www.asbestos.com
In general, the lower the tumor's grade, the better the prognosis. The tumor cells are moderately differentiated. Although considered a tumor of uncertain malignant potential information about its biological behavior is still limited. It does not spread to surrounding tissue. Immunohistochemical analysis of percutaneously obtained ascitic fluid. Precise causes are unknown, link with certain variants of brca 1 and brca 2 mutation has been described. Biphasic mesothelioma is a mixture of both the sarcomatoid and epithelial cell types. papillary mesothelioma of ovary is rare benign tumours.

Some doctors have improperly diagnosed pleural mesothelioma as lung cancer and peritoneal mesothelioma as ovarian cancer.

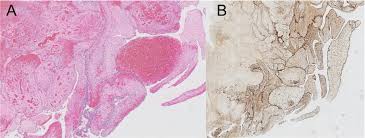
The cancer's grade may help the doctor predict how quickly the cancer will spread. There are several tumors that can involve the pleura which can range from being benign to malignant. This occurs primarily in children and. There are four main types of mesothelioma based on tumor location and cell type. Wdpm, also known as papillary mesothelioma, is an unusual form of epithelial mesothelioma because it is generally considered to be of low malignancy potential. Pax8 expression in a subset of malignant peritoneal mesotheliomas and benign mesothelium has diagnostic implications in the differential diagnosis of ovarian serous carcinoma These patients frequently young women who get this rare form of cancer. The peritoneum surrounds the internal organs for support and lubrication. The tumor cells are poorly differentiated. A clinicopathologic study of 26 cases; Of 11 cases of mesothelioma 9 five were epithelial and six biphasics. Benign multicystic peritoneal mesothelioma (bmpm) 2. Aims florid mesothelial hyperplasia is known to result from endometriosis.

This is the most common form of ovarian cancer and occurs primarily in adults. The treatment for these cell types is the same as normal, but the prognosis is much worse because of the tissues from which the cells have spread. Accurate histologic classification of these neoplasms is important for clinical management. Among the epithelial, three were predominantly exophytic, papillary, well differentiated. Almost everyone who gets mesothelioma was exposed to asbestos.

Webpathology Com A Collection Of Surgical Pathology Images
Webpathology Com A Collection Of Surgical Pathology Images from www.webpathology.com
Benign multicystic peritoneal mesothelioma (bmpm) 2. Accurate histologic classification of these neoplasms is important for clinical management. The tumor cells are poorly differentiated. The treatment for these cell types is the same as normal, but the prognosis is much worse because of the tissues from which the cells have spread. This occurs primarily in children and. S traight microvilli of variable length, less prolific than in mesotheliomas and confined to the apical surface. Nevertheless, when they are present the differential diagnosis includes benign mesothelial lesions, well differentiated papillary mesothelioma (wdpm), diffuse malignant mesothelioma as well as clear cell carcinoma of the ovary. The tumor cells are moderately differentiated.

Researchers have found significant variation in survival among histologic subtypes of papillary thyroid cancer.

This is a rare subtype of mesothelioma that is clinically distinct from mpm. The rarity of this entity and the difficulties differentiating it from either ovarian carcinoma or peritoneal mesothelioma may lead to frequent misdiagnoses and may raise some concerns about its. Immunohistochemical analysis of percutaneously obtained ascitic fluid. A typical morphological appearance is papillary structures with fibro vascular cores. This occurs primarily in children and. Often, it is an incidental surgical finding when laparatomy is done for ovarian epithelial tumours, with histological pattern of predominantly papillary well differentiated mesothelial cells, and prominent stromal infiltrate 1. Primary ovarian mesothelioma is a rare, aggressive neoplastic disease with a poor prognosis. These are dealt with in the ovarian tumours article. In general, the lower the tumor's grade, the better the prognosis. Primary peritoneal cystadenocarcinoma is a rare tumor of similar histogenic origin as primary ovarian carcinoma. papillary mesothelioma of the ovarian surface. To our knowledge, peritoneal diffuse malignant mesothelioma (mm) arising in the setting of endometriosis has not been reported. The purpose of this study is to report the.

Post a Comment

0 Comments